Meet
Dr. Arshad, an embodiment of dental brilliance, has over 17+ years of experience, during which he has transformed the lives of more than 15,000+ patients. He has completed fellowships in Cosmetic Dentistry (US), Aesthetic Dentistry (Germany), and Masters in Dental Aesthetics (US), continually honing his skills.
Meet Dr. ArshadDr. Arshad Cosmetic Dentist | Aesthetic Dentist | Smile Design
About Dr. Arshad
A Zeal for Sculpting Exquisite Smiles
Dr. Arshad, the visionary founder of Shaad Aesthetics, has established his state-of-the-art studio for smile design, at the expansive Racecourse location, offering an unmatched Hollywood standard experience.
With training under esteemed smile makeover dentists from New York, he brings a world-class approach to his craft. Within the sprawling 4000 Sq Ft facility, Dr. Arshad showcases his exceptional expertise, catering to a discerning clientele.
Renowned as one of the most sought-after celebrity dentists, Dr. Arshad has garnered acclaim through his remarkable portfolio of over 2500+ smile corrections. His clientele spans across India, US, Australia, Dubai, Singapore, and Germany, a testament to his global influence. With over a decade of unwavering presence in Coimbatore, he continues to redefine the realm of cosmetic dentistry.
Dr. Arshad's treatment methods exemplify an extraordinary level of technical expertise, positioning him as the ultimate choice for individuals seeking implant procedures and a wide range of cosmetic enhancements. With his masterful skills, he consistently crafts flawlessly natural-looking results that captivate patients from every corner of the globe, setting a new standard in dental aesthetics and implants.
Step into Dr. Arshad's studio and experience the pinnacle of artistry, where every smile transformation is meticulously crafted with precision and finesse.
Explore ShaadTop 3 Services
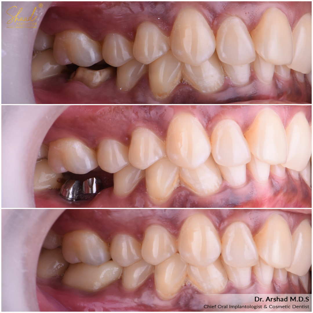
Dental Implant
Restore your missing teeth with advanced dental implant procedures, providing natural-looking, long-lasting results for a confident smile within 72 hoursAnti Aging Dentistry
Experience the art of anti-aging dentistry, where rejuvenating treatments revitalize your smile and facial aesthetics for a youthful appearance within a week.An indelible mark in Aesthetic Dentistry
The true measure of Dr. Arshad's success lies in the transformation of lives. With his remarkable talent, he has crafted over 2500 unique smiles, forever changing the lives of his patients.
His expertise goes beyond borders, as he has also undertaken full mouth reconstructions and cosmetic treatments for patients from around the globe.
At Shaad Aesthetics, you can expect nothing less than world-class treatment from a leader in dentistry. Driven by a passion to deliver outstanding results, Dr. Arshad takes great pride in creating personalised solutions that cater to your unique needs.
His dedication, coupled with a warm and compassionate approach, ensures that every patient leaves with unwavering confidence and a smile that shines brighter than ever before.
Book your appointment today and embark on a journey towards a radiant smile that will leave a lasting impression.
Explore Dr. Arshad's Case StudiesLet Me Begin Your Smile Transformation Now!
Subscribe to my exclusive member list to receive the latest updates, special promotions, and personalised recommendations for your dental care.
Enter your full name and email address below to join my community of valued patients.
























